备注
幻灯片放映
大纲
1
 第三节  蓝细菌
  •       蓝细菌(Cyanobacteria)旧称蓝藻或蓝绿藻,是一类进化历史悠久、革兰氏染色阴性、无鞭毛、含叶绿素a、能进行产氧性光合作用的大型原核生物。
2
  蓝细菌的分布
  •       蓝细菌广泛分布在各种河流、湖泊和海洋等水体中,因抗逆境能力较强,所以在温泉和盐湖等一些极端环境中也能生活,它们甚至能通过贫瘠的岩石缝隙而向岩石内生长,是岩石分解和土壤形成的“先驱生物”。一些蓝细菌还能与真菌、苔类、蕨类、苏铁科植物、珊瑚甚至一些无脊椎动物共生。
3
 蓝细菌的形态
  •     蓝细菌的细胞体积一般比细菌大,通常直径为3~10 μm,最大的可达60μm。细胞形态多样,可分5类:
  •      ⑴ 由二分裂形成的单细胞
  •      ⑵ 由复分裂形成的单细胞
  •      ⑶ 有异形胞的菌丝
  •      ⑷ 无异形胞菌丝
  •      ⑸ 分枝状菌丝
4
 
5
 蓝细菌的结构
  •        蓝细菌的细胞构造与革兰氏阴性细菌极其相似。细胞壁有内外两层,外层为脂多糖层,内层为肽聚糖层。革兰氏染色阴性。许多种类在细胞壁外还分泌胞外多糖,它有粘液层、荚膜或鞘衣等不同形式。
6
 蓝细菌的结构
  •     蓝细菌的细胞质周围有复杂的光合色素层,通常以类囊体的形式出现,其中含叶绿素a和藻胆素。细胞内还有能固定CO2的羧酶体。在水生性种类的细胞中,常有气泡构造。细胞中的内含物有可作碳源的糖原、PHB,可用作氮源的蓝细菌肽和贮存磷的聚磷酸盐等。
7
 
8
 
9
  类囊体
  •        细胞内进行光合作用的部位称类囊体,数量很多,它们以平行或卷曲的方式贴近地分布在细胞膜附近。在类囊体的膜上含有α、β-胡萝卜素和光合电子传递链的有关组分。
10
 蓝细菌的结构
  •   蓝细菌细胞内的脂肪酸较为特殊,含有两至多个双键的不饱和脂肪酸,而其他原核生物通常只含饱和脂肪酸和单个双键的不饱和脂肪酸。
11
    蓝细菌细胞的几种特化形式
  • 异形胞
  •   是蓝细菌所特有的一种结构和功能都很独特的细胞。它是存在于丝状生长种类中的形大、壁厚、专司固氮功能的细胞,数目少而不定,位于细胞链的中间或末端。异形胞可在光学显微镜下清楚地看到。
12
 蓝细菌细胞的几种特化形式
  • 静息孢子
  •   是一种长在细胞链中间或末端的形大、壁厚、色深的休眠细胞,富含贮藏物,能抵御干旱等不良环境。


13
"链丝段"
  • 链丝段
  •   又称连锁体或藻殖段,是由长细胞链断裂而形成的短链段,具有繁殖功能。
  • 内孢子
  •   少数种类的蓝细菌能在细胞内形成许多球形或三角形的内孢子,待成熟后即可释放,具有繁殖作用。


14
    蓝细菌的繁殖
  •      蓝细菌通过无性方式繁殖。单细胞的种类行二分裂或多分裂。大多数丝状蓝细菌的细胞分裂是单平面的,而分枝的丝状蓝细菌进行多平面方向的分裂。
15
 
16
第四节 支原体、立克次氏体和衣原体
  •      支原体、立克次氏体和衣原体是三类属于革兰氏阴性的原始而小型的原核生物。它们的生活方式从既有腐生又有寄生的支原体直至专性细胞内寄生的立克次氏体,因此,它们是介于细菌和病毒间的生物。
17
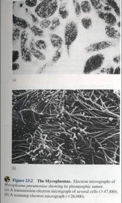
  一、 支原体
  •        支原体(Mycoplasma)是一类无细胞壁、介于独立生活和细胞内寄生生活间的最小型原核生物。许多种类是人和动物的致病菌,有些腐生种类生活在污水、土壤或堆肥中,少数种类可污染实验室的组织培养物。
18
  支原体
  •    1898年,E.Nocard等从患传染性胸膜肺炎的病牛中首次分离到支原体,当时称为胸膜肺炎微生物(PPO)。后来,人们从其他动物中陆续分离得到多种类似于PPO的微生物,因此就相应地称作类胸膜肺炎微生物(PPLO)。从1955年起,支原体的名词就正式代替了以前的PPO和PPLO了。
19
  支原体
  •     1967年后,发现在患“丛枝病”的桑、马铃薯等许多植物的韧皮部中也有支原体存在,为了与感染动物的支原体相区分,一般称侵染植物的支原体为类支原体(MLO)或植支原体。
20
支原体的特点
  • ①细胞很小,直径为150~300nm,多数为250nm左右,固光镜下勉强可见;
  • ②细胞膜含甾醇,比其他原核生物的膜更坚韧;
  • ③因无细胞壁,固呈G-且形态易变,对渗透压较敏感,对抑制细胞壁合成的抗生素不敏感等。
  • ④菌落小(直径为0.1-1.0mm);在固体培养基表面呈特有的“油煎蛋”状;
  • ⑤以二分裂和出芽等方式进行繁殖;
21
 
22
 
23
 
24
 支原体的特点
  • ⑥能在含血清、酵母膏和甾醇等营养丰富的培养基上生长;
  • ⑦多数能以糖类作能源,能在有氧或无氧条件下进行氧化型或发酵型产能代谢;
  • ⑧基因组很小,仅在0.6~1.1Mb
  • ⑨对能抑制蛋白质生物合成抗生素(四环素、红霉素等)和破坏含甾体的细胞膜结构的抗生素(两性霉素、制霉菌素等)都很敏感。
25
 
26
 
27
     支原体的致病性
  •               人:非典型性肺炎
  •               牛:胸膜肺炎
  •               羊:缺乳症
  •               鼠: 关节炎
  •               桑、稻、竹、玉米:
  •               矮缩病、黄化病、  丛枝病


28
 
29
 
30
二、立克次氏体
  •     立克次氏体(Rickettsia)是一类专性寄生在真核细胞内的革兰氏阴性原核生物。
  •     1909年,美国医生H.T.Ricketts(1871-1910)首先发现落基山斑疹伤寒的独特病原体,并于1910年牺牲于此病,故后人称这类病原菌为立克次氏体。
31
 
32
 
33
立克次氏体
  •     立克次氏体不仅是动物细胞的寄生者,也寄生在植物细胞中,植物细胞中的立克次氏体被称为类立克次氏体细菌(RLB)。已报道过的类立克次氏体已有30多种。
34
 立克次氏体的特点
  • ①细胞较大,直径在0.3~0.6×0.8~2.0μm,光镜下清晰可见;
  • ②细胞形态多样,杆状、球状、双球状或丝状等。
  • ③有细胞壁,G- ,细胞壁含胞壁酸和二氨基庚二酸。
35
立克次氏体的特点
  • ④在真核细胞内营专性寄生,其宿主为虱、蚤、蜱、螨等节肢动物和人、鼠等脊椎动物;
  • ⑤以二分裂方式繁殖(每分裂一次约8h);
  • ⑥存在不完整的产能代谢途径,不能利用葡萄糖或有机酸,只能利用谷氨酸和谷氨酰胺产能;
36
立克次氏体的特点
  • ⑦对四环素、青霉素等抗生素敏感;
  • ⑧对热敏感,一般在56℃以上经30分钟即被杀死;
  • ⑨一般可培养在鸡胚、敏感动物或Hela细胞株的组织培养物上;
  • ⑩基因组很小,如普氏立克次氏体基因组为1.1Mb,含834个基因。


37
"1934年我国科学工作者..."
  •  1934年我国科学工作者谢少文首先应用鸡胚培养立克次氏体成功,这为人类认识立克次氏体作出了重要贡献。


38
 
39
 
40
 
41
 立克次氏体的致病性
  •       立克次氏体是人类斑疹伤寒、恙虫热和Q热等严重传染病的病原体。一般寄生于虱、蚤等节肢动物消化道的上皮细胞,并在其中大量繁殖,细胞破裂后所释放的大量个体随粪便排出。当虱、蚤叮咬人体时,乘机排粪,在人体抓痒之际,粪中立克次氏体便随即从伤口进入血流,在血细胞中大量繁殖并产生内毒素,置人于死地。
42
 
43
 衣原体
  •     衣原体(Chlamydia)是一类在真核细胞内营专性能量寄生的小型革兰氏阴性原核生物。
  •     1956年我国著名微生物学家汤飞凡及其助手张晓楼等人在国际上首次分离到沙眼的病原体。
44
 
45
衣原体
  •     直至60年代,由于衣原体具有滤过性、专性细胞内寄生和能形成包涵体,因此,这类沙眼衣原体仍被称作“大型病毒”或“巴德松体”。1970年,在美国波士顿召开的沙眼及有关疾病的国际会议上,才正式把这类病原微生物称作衣原体。
46
 衣原体的特点
  • ①有细胞构造,球形或椭圆形,直径0.2-0.3μm,光镜下勉强可见;
  • ②细胞内同时含有RNA和DNA两种核酸;
  • ③有细胞壁(但缺肽聚糖),G- ;
  • ④有核糖体;
47
衣原体的特点
  • ⑤缺乏产生能量的酶系,须严格细胞内寄生;
  • ⑥以二分裂方式繁殖;
  • ⑦对抑制细菌的抗生素和药物敏感;
  • ⑧只能用鸡胚卵黄囊膜、小白鼠腹腔、或HeLa细胞组织培养物等活体进行培养。
48
衣原体的生活史
  •    原体:具有感染力的细胞称为原体。呈小球状(直径小于0.4μm),细胞厚壁,致密,不能运动,不生长,抗干旱,有传染性。原体经空气传播,一旦遇合适的新宿主,就可通过吞噬作用进入细胞,在其中生长,转化成无感染力的细胞,称为始体或网状体。
49
 衣原体的生活史
  •     始体:始体呈大形球状(直径达1~1.5μm),细胞壁薄而脆弱,易变形,无传染性,生长较快,通过二分裂可在细胞内繁殖成一个微菌落即“包涵体”,随后,每个始体细胞又重新转化成原体,待释放出细胞后,重新通过气流传播并嗣机感染新的宿主。整个生活史约需48h。
50
 
51
 
52
衣原体的致病性
  • 衣原体不需媒介,它可直接感染宿主。
  • 沙眼衣原体: 人类沙眼的病原体,可
  •              引起结膜炎、角膜炎等。
  • 肺炎衣原体:引起肺炎。
53
  衣原体的致病性
  •   鹦鹉热衣原体: 引起鹦鹉、鸽、鸡、鹅、以及牛、羊多种疾病。虽然鹦鹉热衣原体的天然宿主是鸟类和人以外的哺乳动物,但当人吸入鸟的感染性分泌物后,能导致肺炎和毒血症,因此鹦鹉热衣原体是人兽共患的病原体。


54